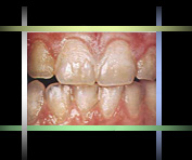
Zubní kámen
Zubní kámen se tvoří ze zubního plaku, na kterém se ukládají minerální látky ze slin a zbytků potravin. Původně měkký a snadno odstranitelný povlak již nelze odstranit ani za pomoci zubního kartáčku. Na povrchu zubního kamene se lépe zachycují mikroorganismy, které vylučují toxické látky, které jsou pro dásně dráždivé a agresivní. Dásně jsou posléze zčervenalé, oteklé a krvácí - jsou zanícené a vzniká tzv. zánět dásní. Zubní kámen nikdy nezpůsobuje bolest, ale je příčinou vzniku zánětu dásní a ten již bolest způsobuje.
Zabránění vzniku zubního kamene a následně kazu
Jedině dokonalé čištění zubů a používání správných pomůcek Vám pomůže předejít zubnímu kameni.
Odstranění zubního kamene
Zubní kámen se odstraňuje buď ultrazvukem nebo mechanicky ručními nástroji a pastou. Tento zákrok provádí zubní lékař nebo dentální hygienistka.


